新浪福建 资讯

老司机看直线是扭曲的,体检视力不达标,一查发现眼底坏了,还是晚期!

综合

关注

确定不再关注此人吗

摘要: 老司机看直线是扭曲的,体检视力不达标,一查发现眼底坏了,还是晚期!

“老杜来了,感觉怎么样?头靠上来检查一下眼压!”福州爱尔眼科医院眼底病科副主任郑宏华博士用招呼老朋友的语气对前来复查的患者说道。“挺好的,出院开的药还是照常使用,下周一再来找我,到时候提前给您泡杯茶。”

福州爱尔眼科医院眼底病科副主任郑宏华博士为老杜复查

结缘:老司机视力不达标 找到“可靠”医生

这个老杜70岁了,年轻时在机关单位当司机,退休后日常生活仍以车代步,至今驾龄50年,可谓妥妥的老司机。然而2年前,他感觉自己的左眼眼前有黑点伴随,且视力一天比一天模糊,前往福州一家医院就诊,医生表示眼底出问题,只有手术才能解决,且手术期间必须要家属陪同。当时老杜一家人都在国外,因为疫情原因无法赶回来,加上他感觉自己还能看得见,就没有治疗。

前一段时间,老杜去医院进行驾驶证体检,被告知视力不达标,他这才想到要再去看看左眼问题。在外甥的建议下,他前往福州爱尔眼科医院找到眼底病科郑宏华博士。“在候诊区等待时,刚巧碰到有位患者和她的家属给郑主任送锦旗,我凑前一看,嚯!诊室里挂满了锦旗,心想这医生可靠。”在老杜之后的整个诊疗过程中,郑宏华主任用专业和亲和力验证了这个“可靠”!

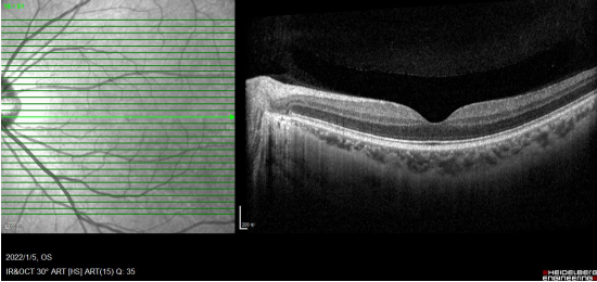
问诊中,老杜说自己左眼看东西模糊,而且会发生变形。郑宏华主任随即拿出一张方格表(阿姆斯勒表)让老杜看,并作答,结果发现老杜左眼看到的直线都是扭曲的。为了进一步明确病情,郑宏华主任为老杜完善了各项专科检查,“OCT检查显示患者黄斑水肿,黄斑前膜已经进展到晚期,严重牵拉视网膜导致视物变形,需要尽快进行手术剥膜!”

福州爱尔眼科医院眼底病科副主任郑宏华博士为老杜分析病情

顾虑:没有家属陪护,能否手术?

尽管对于病情老杜已有一定的心里准备,但在得知要做手术,他低下头,深深地叹了口气,“郑主任您很专业,医疗技术我不担心,主要是我年纪大了,家人不在,又不想麻烦亲戚,不知道一个人能不能手术?”面对患者的肯定,郑宏华主任十分欣慰并表示,福州爱尔眼科医院早已引进先进的27G玻切机,此次手术将借助该设备进行,切口小,属于微创手术,患者一个人完全没有问题,无需担心。

得到这样的答案,老杜当即要求尽快住院手术。郑宏华主任带领眼底病团队为他精心规划了手术方案,手术顺利进行。术后老杜说:“我相信郑主任,整个手术心里很踏实,认真配合,除了打麻药的时候稍微有点疼,之后到现在都没有不舒服,护士们看我没有家属陪护,还特别照顾,感觉很温暖!”

医者:迟到2年的手术,难度升级、恢复有限

据了解,黄斑前膜晚期手术时间长、难度升级、设备昂贵、技术含量大,对手术医生提出极为严苛的专业要求:术者需在仅有一张白纸厚度的柔软透明视网膜上剥一层膜,犹如在针尖上跳舞,稍有不慎伤及视网膜,就会导致视力下降甚至失明的严重后果,需要术者全程在显微镜下气定神闲、精雕细刻地操作每一个细节。

福州爱尔眼科医院眼底病科副主任郑宏华博士从事眼科临床、教学、科研工作近20年,是一位经验丰富的知名玻璃体视网膜眼科医生,擅长各种玻璃体和视网膜疾病诊治,尤其是糖尿病性视网膜病变、黄斑手术及复杂性眼外伤疾病。2021年荣获爱尔眼科医院集团“指尖比武”中青年医师玻切手术大赛冠军。老杜这个手术对他来说就如同让大厨做家常菜一般,轻松驾驭,成功完成。

术后一周,老杜复查结果显示,恢复良好。“视物变形改善,黄斑水肿需要3-6个月的时间恢复和观察,好的话视力会提高,否则只能维持现在的视力。”郑宏华博士进一步解释,老杜黄斑前膜到达晚期,黄斑水肿已经产生结构性损伤,尽管手术膜剥了,但如果视网膜形态结构回不去,视力恢复程度就十分有限。幸运的是老杜还是及时止损,下决心手术了,现在视力由术前的0.2,提高到了0.5,黄斑水肿在缓慢消退,神经细胞在缓慢恢复中。

手术前的OCT检查↑

手术后OCT检查,黄斑前膜剥除,黄斑形态缓慢恢复↑

正常的黄斑结构↑

提醒:黄斑前膜千万别拖到晚期才治疗

据了解,黄斑是我们眼底视网膜视力最敏锐的部位,由于各种原因导致黄斑前面产生纤维膜状物增生,就是黄斑前膜。黄斑前膜刚长出来时是很小片的,大多数情况下非常缓慢地变大,并且刚长出来时是很透明的,所以绝大多数的患者没有任何感觉。随着这层膜会慢慢变厚,透明度变差,视力下降。更可怕的得是这层膜还会自己收缩,当力量大到累及整层视网膜时,就会引起视网膜的水肿、变形、撕裂,出现看东西变形,进而严重影响视功能,甚至会发生牵拉性视网膜脱离,后果就十分严重了。  

福州爱尔眼科医院眼底病科副主任郑宏华博士表示,黄斑前膜越早治疗,视力恢复比较容易。因此,想要避免黄斑前膜出现晚期严重的症状,早期发现非常关键!他提醒:如果出现看东西模糊、颜色变暗、重影、变形等症状,需要及时到医院做一些专科检查,比如OCT、眼底照相等,来明确是否得了黄斑前膜。此外,由于50岁以上的中老年人群患有黄斑前膜的概率大大增加,因此无论是否黄斑前膜,均应每半年进行一次眼底检查,做到早发现、早诊断、早治疗。通讯员:陈雪彬

分享文章到:

相关新闻

推荐阅读

加载中...