新浪福建 资讯

热消融“烧毁”病灶,治疗肺癌新选择

综合

关注

确定不再关注此人吗

随着医学的进步

肺癌治疗技术越来越先进

热消融治疗已成为

治愈肺癌的新希望

病情诊断

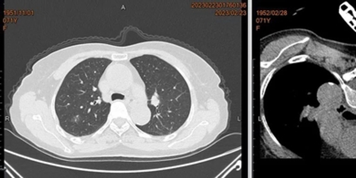
71岁的李阿婆,4月前体检发现肺部磨玻璃阴影,近日复查提示:原有病灶较前稍增大。

厦门大学附属中山医院呼吸与危重症医学科杜艳萍主任医师仔细询问患者病史,结合增强CT检查,考虑为恶性病变可能性极大。

治疗方案

由于患者高龄、合并冠心病,施行外科手术风险高,医生建议患者行微创消融治疗。我院多学科资深专家共同讨论(MDT)并经患者及家属同意后,决定施行微创消融治疗肺部肿瘤。

杜艳萍主任医师带领呼吸科微创介入治疗团队,在CT精确定位下,利用微波消融针先行消融1分钟,活检留取标本送病理检查和基因检测,随后再行4分钟治愈性消融。

术后确认无气胸、炎症,第三天患者顺利出院。随访病理结果:原位癌。

肺肿瘤热消融是针对肺的一个或多个肿瘤病灶,利用热产生的生物学效应直接导致病灶组织中的肿瘤细胞发生不可逆损伤或凝固性坏死的一种微创精准治疗技术,包括治愈性消融和姑息性消融。

▲杜艳萍主任医师与CT室陈国强医生探讨进针路径

前者是指通过热消融治疗,使局部肿瘤组织完全坏死,有可能达到治愈效果。目前主要适用于早期(Ia期)肺癌因心肺功能差或高龄不能耐受手术切除和放射性治疗的患者。

姑息性消融作为综合治疗的重要组成部分之一,治疗目的在于最大限度缓解肿瘤引起的症状和改善患者生活质量,并尽可能延长生命。

与放射性治疗相比,消融不会引起放射性肺炎等并发症,尤其适用于肺功能差的老年患者。

团队资质

我院呼吸与危重症医学科是国家呼吸系统疾病临床医学研究中心分中心、福建省临床重点专科,设有钟南山院士名医工作室,目前呼吸与危重症医学科可开展微波消融、激光消融、射频消融等多种热消融技术。

以此同时,依托呼吸科专业的优势,科室团队可熟练处理术后感染、气胸、咯血等各种并发症,先后为数百例肿瘤患者解除了病痛。

▲激光消融治疗

▲微波消融同步活检

预约诊疗

推荐使用以下方式

1。通过关注“厦门大学附属中山医院”微信服务号预约:

长按二维码可识别

2。拨打医院预约电话0592-2993666(工作日8:00-12:00;14:30-17:30)

3。拨打厦门市24小时统一门诊预约平台电话:0592-96166

4。登陆医院官网预约:

https://www.xmzsh.com/

来源:厦门大学附属中山医院

分享文章到:

相关新闻

推荐阅读

加载中...